Review Article
Creative Commons, CC-BY
Laparoscopic Approach in Necrotic Pancreatitis
*Corresponding author: Sotirov DY, MBAL “Sveti Panteleymon” hospital, Yambol.
Received: August 13, 2024; Published: August 26, 2024
DOI: 10.34297/AJBSR.2024.23.003136
Abstract
Introduction: Severe acute pancreatitis is a disease that is often complicated by a complex pathological process, difficult to manage and associated with high morbidity and mortality. Approximately 80% of patients have a mild form of the disease, while the remaining 20% develop a severe life-threatening necrotizing complication. These patients are at high risk of infection, multisystem organ failure and death. Necrosis of pancreas, often infected, requires a multimodal step-up approach and often needs a treatment through an invasive procedure. Over the last few decades, great advances have been made in the treatment of patients with acute pancreatitis, and in particular necrotic form of the disease. However, morbidity and mortality still remain high.
Aim: To present our experience in the treatment of necrotic pancreatitis through mini-invasive procedures as a percutaneous drainage, laparoscopic necrectomy, outlining the clear prerequisites and benefits of the recovery process of patients.
Method: 32 cases operated on for necrotic pancreatitis were examined for the purpose of the study. The mean age of the patients was 50.7 years (37 to 64 years). The cases were followed by ultrasound and CT scan examinations.
Results: The examined data were compared regarding the postoperative stay (17.5 days on average); mortality-two patients; operative approach (one-stage and two-stage) depending on the genesis of pancreatitis, as well as the severity of the patients’ general condition and vital signs. Laparoscopic cholecystectomy - 10 cases, laparoscopic revision of the Common Bile Duct (CBD) with T-tube placement - 18 patients. Subsequent laparoscopic necrosectomy were used in 23 cases. In five cases it was necessary to make a double-barreled small intestinal protective anus. In 7 of the cases, due to the severe general condition of patients, initial drainage of Walled-Off Pancreatic Necrosis (WOPN) was required.All patients show good tolerance to treatment and good response to pain syndrome. All patients received total parenteral nutrition after admission. Early removal of the nasogastric tube and started feeding (4-5 days) in the postoperative period. Outpatient follow-up of cases for 3 months.
Conclusion: The mini-invasive approach of this life-threatening disease and resolution of its complications are primary goals in the treatment of necrotic pancreatitis. This should be referred to an interdisciplinary team of gastroenterologist, surgeon, interventional radiologist, specialists in intensive care medicine, infectious disease, and nutritionist. Nowadays, laparoscopic surgical treatment of necrotic pancreatitis is effective alternative to other modalities in the treatment of infected pancreatic necrosis. This method also reduces the postoperative pain and significantly improve quality of life of these patients.
Keywords: Acute Pancreatitis, Necrotic Pancreatitis, Infected Necrotizing Pancreatitis, Minimally Invasive Treatment, Transluminal Endoscopic Drainage, Necrosectomy, Walled-Off Necrosis
Introduction
The Acute Pancreatitis (AP) is a life-threatening disease, which could be complicated by necrotizing inflammation of the pancreas. The secondary infection of diseased pancreatic tissue may provoke an overwhelming disseminated septic complication with 60% morbidity and 30 % mortality among the patients.
Usually, the AP has also a two-phase course:
1) An early phase (1-2 weeks) which is dominated by the systemic inflammatory response syndrome (SIRS) and peripancreatic collections.
2) A late phase (after the second week) marked by local complications e.g., sterile or infected pancreatic necrosis, pancreatic abscess, pseudocysts.
According to different studies up to 80 % of patients with acute pancreatitis have mild symptoms of AP. In the rest of patients, the disease may be aggravated with a necrosis of pancreas and the course may progress to very severe devastating complications involving different organ systems. Precisely those patients have a great risk of sepsis, multiple organ failure with high mortality [1]. Necrosis of the pancreas has a prolonged evolution with local and systemic complications throughout the body which can explain the high mortality rate. At the same time the course of necrotizing pancreatitis is quite variable and unpredictable. The necrotic tissues may remain solid or liquefy, may be sterile or become infected, persist, or disappear over time [2].
Many authors confirm that there are 3 forms of pancreatic necrosis:
a) Necrosis of pancreatic parenchyma and peripancreatic tissues (the most frequent form).
b) Necrosis of peripancreatic tissues without necrosis of parenchyma (less frequent form).
c) Necrosis of pancreatic parenchyma without involvement of peripancreatic tissues (rarely presented).
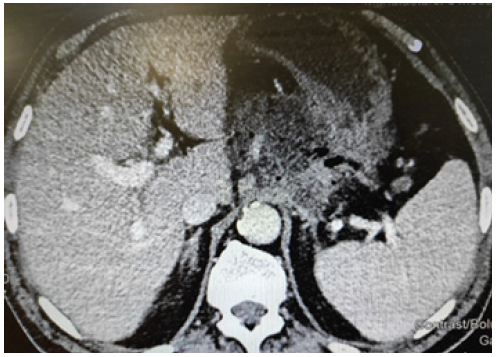
On the CT the necrosis of pancreas can be visualized at least 72 h after the beginning of this complication. This is the optimum time for initial CT scan (Figure 1) [3].
We should distinguish between different types of peripancreatic collections needed different treatments.
1) If the collection is homogenous on the CT, confined by normal tissues in the first week of onset of AP, we define this collection as Acute Peripancreatic Fluid Collection (APFC), which is usually sterile and resolve without intervention.
2) If the collection is heterogeneous, we associate this image with necrosis of pancreas. When the collection is less than 4 weeks old, we define it as an Acute Necrotic Collection (ANC), if present for greater than 4 weeks: Walled-Off Necrosis (WOPN). The necrosis needs an intervention [1].
3) If peripancreatic fluid collections are homogenous that persist beyond 4 weeks are described as pseudocysts. Usually we apply mini-invasive approach for treatment [4,5].
The treatment of AP, like many other diseases requires an inter-disciplinary approach including gastroenterologist, surgeon, interventional radiologist, specialists in intensive care medicine, infectious disease, and nutritionist.
The majority of patients with advanced necrotizing pancreatitis are hemodynamically unstable, in a hypercatabolic state, malnourished and are subject to many comorbidities and systemic derangements. As the result of AP, the gastrointestinal tract has a decreased mucosal integrity with subsequent increased gut permeability and decreased gut motility with subsequent an increased bacterial overgrowth. This combination of factors provokes increased bacterial translocation and infection of pancreatic necrosis. The early administration of enteral feeds could diminish these side effects [6].
The most common complications associated with necrosis of the pancreas are:
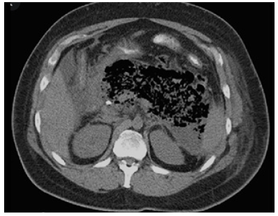
1) Infection of collections - 33% of patients with necrotizing pancreatitis (Figure 2).
2) Hemorrhage - 5% of patients with necrotizing pancreatitis. It can be provoked by inflammatory damage to peripancreatic vessels leading to pseudoaneurysm formation with possible rupture, leading to hemorrhagic shock and death without treatment.
3) Main pancreatic duct disruption - 30% of patients with necrotizing pancreatitis.
The infected pancreatic necrosis frequently needs an invasive procedure or even surgical operation on those unstable patients. The need for that invasive treatment could approach 40-63% of patients according to different authors [7,8]. Despite the advances in the intensive care of patients and less invasiveness of applied operative technique or percutaneous procedures the morbidity and mortality of patients with necrotizing pancreatitis remain still as high as 20-30%. Therefore, occurrence of severe sepsis doubles the risk of death, and this mortality is even higher with increasing age [9-13].
For the first time Fagniez applied the open lateral approach for peri-pancreatic debridement through the retrocolic space. Carter et al. proposed a novel technique of mini-invasive percutaneous necrosectomy by positioning under CT guidance of large bore drains left for lavage and drainage of the necrotic cavity [14,15].
Today the modern surgical approaches are completely different compared with the ancient techniques used for treatment of infected pancreatic necrosis. The integration of new enhanced imaging modalities and the advance of laparoscopic surgery are used as a supplementary procedure for step-up approaches. They are superior to the other open surgical procedures [16].
The step-up approach is becoming a standard treatment option for necrotizing acute pancreatitis instead of early surgery. The general opinion is that the surgery should be postponed for at least 4 weeks since the beginning of AP. The objective of this step-up access is a stabilization of patient from challenging clinical conditions and waiting the formation of stable walled-off pancreatic necrosis (WOPN). Applying this treatment, we start using the less invasive procedure and continue with more invasive one. This approach is expressed by the “3D” concept: delay, drain, and debride. It has 3 steps for optimal management and includes a first step of intensive care monitoring and treatment for stabilization of patient from challenging clinical conditions and waiting the formation of walled-off pancreatic necrosis (WOPN). The second step is reserved for a percutaneous or endoscopic drainage, which can be indicated in the case of liquid component of WOPN. If most of the contents of WOPN are solid then we can apply the third step which consists of minimally invasive surgery if debridement of infected necrosis is needed [17, 18].
Patients and Methods
Through that retrospective study we share our experience with application of laparoscopic approach in the treatment of infected pancreatic necrosis. In this study was included 32 patients presenting signs of septic complication of necrotizing pancreatitis (22 men and 10 women). The mean age was 50,7 years (range, 37-64 years). We reviewed all these patients with their medical history, clinical examination, blood and urine lab tests, operative notes.
Depending on the general condition of patient, vital signs, the cause of necrotizing pancreatitis (biliary or alcoholic) we apply one-stage or two- stages invasive procedures. For 18 patients the AP was provoked by common bile duct (CBD) stones. Eleven cases have alcoholic pancreatitis. There are four patients with non-biliary, non- alcoholic relation with these AP. In 23 cases was done laparoscopic necrosectomy of the complicated AP.
At the beginning the management of patients with necrotizing pancreatitis is usually took place in the Intensive care department. The early and aggressive hydration to address hypovolemia due to fluid sequestration in pancreatic and peripancreatic tissue is essential. The volume repletion with isotonic crystalloid or Ringer’s lactated solution should be at a rate of 250-500 mL/h, with lower rates necessary for patients with precluding comorbidities. We frequently assess intravascular volume of these patients and non-responding to this aggressive treatment in the first 24 h is a bad clinical sign [19]. The treatment includes broad-spectrum intravenous antibiotics only in the case of suspected infection (e.g., carbapenems, quinolones, metronidazole). However, infected necrosis treated with antibiotics alone without additional surgical treatment has a high mortality rate. According to a meta-analysis patients treated conservatively for infected pancreatic necrosis had a mortality of 12% [20].
Simultaneously, we try to prove the pancreatic infection by cultures. Usually, the treatment includes a total parenteral nutrition for the patients with nausea, vomiting and abdominal distention due to paralytic ileus. In these cases, we put in place nasogastric tube for decompression of gastrointestinal tract. For our patients with necrotizing pancreatitis, we have not used enteral feeding after admission considering patients’ general condition.
In ten cases we performed laparoscopic cholecystectomy with debridement of pancreatic necrosis. For 18 patients we explored the CBD by choledoscope and extraction of stones was done. The operation was finished with placement of T- tube drainage by laparoscopic approach. In 7 cases was accomplished percutaneous drainage of WOPN under US-control. For eight patients was applied a two-stage procedure. The first step was a placement of percutaneous biliary drainage under US-control and C-arm control. The second step was laparoscopic necrosectomy. A temporary loop ileostomy was performed in 5 cases because of bowel paralysis around the pancreas, paralytic ileus, abdominal distention and worsening of the patients’ condition. Debridement by laparoscopic access was accomplished by transgastric approach or gastrocolic access to enter the lesser sac. Applying a gentle blunt removal of necrotic tissue around pancreas, we take care of blood vessels around the pancreas, and we usually use a bipolar coagulation in case of bleeding from vital pancreatic tissues. We always take a sample from infected tissues for culture and subsequent precise antibiotic treatment (Figure 3).
Debridement of necrotic material was performed by forceps and with a laparoscopic irrigation/suction device with evacuation of infected debris (Figures 4-6).
Concurrent cholecystectomy can be performed in cases of biliary pancreatitis. Large bore drains are usually left in place of lesser sac for postoperative lavage and fistula control, if needed. We apply a continuous irrigation with at least 2 L saline solution which was infused in 24 h via the drainage tubes placed in the lesser sac, around the pancreas (Figure 7, 8).
Results
The duration of hospital stay after the treatment of necrotizing pancreatitis was 14-42 days. There was no conversion to open surgery. In this study the laparoscopic necrosectomy was uneventful, and no bleeding occurred intraoperatively or in the postoperative period. We had a pancreatic fistula in three cases after laparoscopic necrosectomy and wound infection in six patients. There was no biliary fistula after exploration of CBD. Two patients died on the 21st and 35th day after the procedure. The causes were a pulmonary embolism and sepsis.
Discussion
In our study we apply minimally invasive step-up approach if there is an indication for intervention. For the first time in 2010, the “step-up approach” was demonstrated to have superior outcomes in terms of major complications and mortality. This study demonstrated that placement of percutaneous drains obviates the need for major abdominal intervention in approximately one-third of patients (21). The well-known concept of delayed surgical intervention in the case of necrotizing pancreatitis was introduced by Mier et al. in 1997. In this study he randomized patients with severe necrotizing pancreatitis to early (48-72 h) versus late (>12 days) necrosectomy and found that late intervention did not increase mortality [22]. Our first-line access was a percutaneous drainage of abdominal collection. The indications for drainage of collection or laparoscopic debridement of necrosis are:
1) Suspected infection (i.e., gas in the collection on the CT scan, proven bacteremia, sepsis, or clinical deterioration of patient).
2) Clinical deterioration of patient presented with an abdominal pain and distention, nausea, vomiting, hyperpyrexia, septic signs.
3) Complicated necrotizing biliary pancreatitis with stones in the CBD.
4) Symptomatic WOPN with extension into the paracolic gutters and pelvis.
We completed that abdominal collection drainage with a percutaneous biliary drainage in the case of CBD stones and cholangitis associated with necrotic pancreatitis (Figure 9).
The indication for Percutaneous Biliary Drainage (PBD) is the same as an ERCP, which is the gold standard for the treatment of CBD stones. We apply the PBD in the setting of cholangitis, biliary obstruction and suspected choledocholithiasis [23]. The delay between the patients’ admission and intervention usually takes 2 weeks in our study. For eleven patients the laparoscopic necrosectomy was used in the second week after the onset of AP due to deterioration of patients’ general condition and the risk of septic shock. According to a recent study the walled-off necrosis may develop sooner than 4 weeks of the onset of AP. In this study 43% of well-defined collections were shown on imaging within 3 weeks of onset [24].
The advantages of percutaneous drainage of collection are:
1) Applicable in the setting of unstable patients with deterioration of general condition.
2) Intubation of the patient could be avoided.
3) Drainage can be effective even during the early phase of acute necrotizing pancreatitis (<2-4 weeks) when the patients have suspected infected necrosis but without the presence of a walled-off collection.
A large prospective, multicenter, observational, cohort study and two prospective randomized trials demonstrated that, the percutaneous drainage alone was successful in up to 51% of cases and 35% of patients with necrotizing pancreatitis did not require further intervention. The major disadvantage of this method is the risk of pancreatocutaneous fistula [25-27]. In our study we applied percutaneous drainage of collection for 7 patients complicated with three pancreatocutaneous fistulas after the intervention. There was no complete resolution of infection after this technique, but we achieved a stabilization of general condition of patients.
A large retrospective study on 189 patients demonstrated a significant benefit of VARD over open necrosectomy in terms of needed ICU support and complications (55 vs. 81%). The study confirms a significant reduction in mortality with VARD (19 vs. 38%). Other advantages associated with VARD comparing to open necrosectomy with anterior laparotomy were shorter operative times and shorter hospitalization in two more recent large-population retrospective study. The Dutch Acute Pancreatitis Study Group have published the first randomized clinical trial comparing open necrosectomy vs. percutaneous drainage (PD)followed by video-assisted retroperitoneal debridement (VARD) in a cohort of 88 patients affected by necrotizing pancreatitis). They noted a significant reduction of multiple organ failure (MOF) with the step-up approach PD+VARD (12 vs. 40% with open necrosectomy), as well as incisional hernias (7 vs. 24%) and new-onset diabetes (16 vs. 38%).
Yuxin Yang et co. after 41 patients with necrotizing pancreatitis operated through a mesocolon-preserving laparoscopic necrosectomy make a conclusion that this approach proved to be safe and effective. They confirm the benefits of laparoscopic necrosectomy as an alternative procedure to other debridment modalities such as VARD, endoscopic transmural necrosectomy (ETN), and laparotomic necrosectomy.
Conclusion
The application of mini-invasive approaches to this life-threatening disease and resolution of the complications of necrotic pancreatitis are primary goals in the treatment of these patients. These patients should be referred to an interdisciplinary team of gastroenterologist, surgeon, interventional radiologist, specialists in intensive care medicine, infectious disease, and nutritionist. Nowadays, laparoscopic surgical treatment of necrotic pancreatitis is effective alternative to other modalities in the treatment of infected pancreatic necrosis. This method also reduces the postoperative pain and significantly improve quality of life of these patients.
Acknowledgement
None.
Conflict Interest
None.
References
- Hackert T, Büchler MW (2016) Decision making in necrotizing pancreatitis. Dig Dis 34(5): 517-24.
- Banks PA, Bollen TL, Dervenis C, Gooszen HG, Johnson CD, et al. (2013) Classification of acute pancreatitis--2012: Revision of the Atlanta classification and definitions by international consensus. Gut 62(1): 102-111.
- Working Group IAP/APA Acute Pancreatitis Guidelines (2013) IAP/APA evidence-based guidelines for the management of acute pancreatitis. Pancreatology 13 (4 suppl 2): e1-e15.
- Balthazar EJ, Robinson DL, Megibow AJ, Ranson JH (1990) Acute pancreatitis: value of CT in establishing prognosis. Radiology 174(2): 331-336.
- Alistar B J Escott, Anthony RJ, Phillips, John A Windsor (2023) The Role of the Intestine and Mesenteric Lymph in the Development of Organ Dysfunction in Severe Acute Pancreatitis. The Pancreas: An Integrated Textbook of Basic Science, Medicine, and Surgery, Fourth Edition.
- Manrai M, Kochhar R, Gupta V, Thakur Deen Yadav, Narendra Dhaka, et al. (2018) Outcome of acute pancreatic and peripancreatic collections occurring in patients with acute pancreatitis. Ann Surg 267(2): 357-63.
- Gliem N, Ammer Herrmenau C, Ellenrieder V, Albrecht Neesse (2021) Management of severe acute pancreatitis: an update. Digestion 102(4): 503-507.
- Peery AF, Crockett SD, Murphy CC, Jennifer L Lund, Evan S Dellon, et al. (2019) Burden and cost of gastrointestinal, liver, and pancreatic diseases in the United States: update 2018. Gastroenterology 156(1): 254-272.e11.
- Baron TH, DiMaio CJ, Wang AY, Katherine A Morgan (2020) American Gastroenterological Association clinical practice update: management of pancreatic necrosis. Gastroenterology 158(1): 67-75. e1.
- Werge M, Novovic S, Schmidt PN, Gluud LL (2016) Infection increases mortality in necrotizing pancreatitis: a systematic review and meta-analysis. Pancreatology 16(5): 698-707.
- Larvin M, McMahon MJ (1989) APACHE-II scores for assessment and monitoring of acute pancreatitis. Lancet 2(8656): 201-205.
- Fagniez PL, Panis Y (1996) Surgical treatment of acute pancreatitis. Rev Prat 46(6): 704-708.
- Carter CR, McKay CJ, Imrie CW (2000) Percutaneous necrosectomy and sinus tract endoscopy in the management of infected pancreatic necrosis: an initial experience. Ann Surg 232(2): 175-180.
- Yuxin Yang, Yang Liu, Zhiqiang Liu, Tao Peng, Chunyou Wang, et al. (2024) Laparoscopic necrosectomy for acute necrotizing pancreatitis: mesocolon-preserving approach and outcomes. Updates Surg 76(2): 487-493.
- Besselink MG (2011) The ‘step-up approach” to infected necrotizing pancreatitis: delay, drain, debride. Dig Liver Dis 43(6): 421-422.
- Logue JA, Carter CR (2015) Minimally invasive necrosectomy techniques in severe acute pancreatitis: role of percutaneous necrosectomy and video-assisted retroperitoneal debridement. Gastroenterol Res Pract 2015: 693040.
- Tenner S, Baillie J, DeWitt J, Santhi Swaroop Vege (2013) American College of Gastroenterology guideline: management of acute pancreatitis. Am J Gastroenterol 108(9): 1400-1415.
- Mouli VP, Sreenivas V, Garg PK (2013) Efficacy of conservative treatment, without necrosectomy, for infected pancreatic necrosis: a systematic review and meta-analysis. Gastroenterology 144(2): 333-340.e2.
- Van Santvoort HC, Besselink MG, Bakker OJ, H Sijbrand Hofker, Marja A Boermeester, et al. (2010) A step-up approach or open necrosectomy for necrotizing pancreatitis. N Engl J Med 362(16): 1491-1502.
- Mier J, Leon EL, Castillo A, Blanco (1997) Early versus late necrosectomy in severe necrotizing pancreatitis. Am J Surg 173(2): 71-75.
- Tenner S, Baillie J, De Witt J, Santhi Swaroop Vege (2013) American College of Gastroenterology guideline: management of acute pancreatitis. Am J Gastroenterol 108(9): 1400-1415.
- Trikudanathan G, Wolbrink DRJ, van Santvoort HC, Shawn Mallery, Martin Freeman, et al. (2019) Current concepts in severe acute and necrotizing pancreatitis: an evidence-based approach. Gastroenterology 156(7): 1994-2007.e3.
- Van Santvoort HC, Bakker OJ, Bollen TL, Marc G Besselink, Usama Ahmed Ali, et al. (2011) A conservative and minimally invasive approach to necrotizing pancreatitis improves outcome. Gastroenterology 141(4): 1254-1263.
- Van Brunschot S, van Grinsven J, van Santvoort HC, Olaf J Bakker, Marc G Besselink, et al. (2018) Endoscopic or surgical step-up approach for infected necrotising pancreatitis: a multicentre randomised trial. Lancet 391(10115): 51-58.
- Raraty MG, Halloran CM, Dodd S, Ghaneh P, Connor S, et al. (2010) Minimal access retroperitoneal pancreatic necrosectomy: improvement in morbidity and mortality with a less invasive approach. Ann Surg 251(5): 787-793.
- Tu Y, Jiao H, Tan X, Sun L, Zhang W (2013) Laparotomy versus retroperitoneal laparoscopy in debridement and drainage of retroperitoneal infected necrosis in severe acute pancreatitis. Surg Endosc 27(11): 4217-4223.
- Guo Q, Lu H, Hu W, Zhang Z (2013) A retroperitoneal approach for infected pancreatic necrosis. Scand J Gastroenterol 48(2): 225-230.










We use cookies to ensure you get the best experience on our website.