Research Article
Creative Commons, CC-BY
Assessments of Chronic Use of Caffeine and Ethanol on the Cerebral Cortex of Male Wistar Rats
*Corresponding author: Oluwagbenga Oluwasemilore JOSEPH, Anatomy Department, Ladoke Akintola University of Technology, Ogbomoso, Oyo State. Nigeria.
Received: August 28, 2024; Published: September 03, 2024
DOI: 10.34297/AJBSR.2024.23.003149
Abstract
Drug abuse has been a public health concern over the years particularly the abuse of alcoholic drinks and caffeinated beverages. Each of these drinks affect the function of the brain but there are no research findings as regards their simultaneous use. Hence this study aimed to investigate chronic use of caffeine and ethanol on the cerebral cortex of male Wistar rats.
Fifty (50) adults males Wistar rats weighing between 120-150grams were randomly divided into five groups (n=10); Control groups C1, C2 and Treatment groups T1, T2and T3. The control groups C1 and C2 were given distilled water and 2% sucrose solution respectively while Treatment groups T1, T2 and T3 were given 10 mg/kg body weight of caffeine in 2% sucrose solution, 25% ethanol in 2% sucrose solution and 10 mg/kg body weight caffeine dissolved in 25% ethanol in 2% sucrose solution respectively. All animals drank freely for 7 weeks before they were sacrificed by cervical dislocation and the brain specimens were processed for histological protocols. Body and brain weights were taken with sensitive weighing balance. Results were presented as mean ± SEM and analyse using SPSS Version 12, one-way Anova was use and level of significance was set at P< 0.05.
Results showed body weight loss in the Treatment Group T1, T2 and T3 were insignificant (P>0.059, 0.067 and 0.075) when compared to the body weight obtained in Control Groups C1 and C2 while brain weight loss in the Treatment Group T1, T2 and T3 were insignificant (P>0.06, 0.08 and 0.12) compared to brain weight obtained in Control Groups C1 and C2. The routine histological analysis showed that high dose of caffeine and ethanol affected cerebral cortex cells and their expression of Nissl bodies and an indication of cytoplasmic functional integrity relative to the synthesis of protein. It also showed neuronal distortion and complete obliteration of pyramid neurons.
These findings showed that the combined abuse of ethanol and caffeine is more deleterious to the functionalities of the cerebral neuron as shown by neuronal damages in the cerebral cortex. Further studies on the mechanism of neuronal damage from the combined drinks of ethanol and caffeine are therefore recommended.
Keywords: Caffeine, Ethanol, Cerebral Cortex, Nissl Body, Drug Abuse, Wistar Rats
Introduction
Caffeine is a white, odorless powder with a slightly bitter taste [1]. It is the most widely consumed active substance in the world that affects the central nervous system by stimulating brain and nerve cells activities [2]. Caffeine (1,3,7-trimethylxanthine) is a purine alkaloid present in high concentrations in tea, coffee and in a number of bevera ges such as Coca-cola product [3]. It is mainly used recreationally as a cognitive enhancer, increasing alertness and attentional performance.
Caffeine acts by blocking binding of adenosine to the adenosine A1 receptor, which enhances release of the neurotransmitter acetylcholine [4]. Caffeine has a three-dimensional structure similar to that of adenosine, which allows it to bind and block its receptors [4]. Caffeine also increases cyclic AMP levels through nonselective inhibition of phosphodiesterase [5].
Ethanol is one of the most widely used psychoactive drugs in the world [6]. Some characteristics, such as the low cost, availability and easy access, contribute to high ethanol consumption among adolescents [7]. Indeed, it has been observed that a reduced sensitivity to ethanol-induced motor impairments among adolescents, which may contribute to heavy drinking as well as the early development of alcohol dependence [8]. Consequently, alcohol misuse during early life can result in long-lasting health problems, including central nervous system (CNS) impairments [9].
Material and Method
Experimental Animals
Fifty (50) adult males Wistar rats weighing between 120-150g were used for this study. The rats were made to undergo a two weeks’ acclimatization period under standard laboratory conditions at Animal Holding of Anatomy Department, Ladoke Akintola University of Technology, Ogbomoso, Nigeria and treated in accordance with the Guide for Care and Use of Laboratory animals prepared and compiled by the National Academy of Science and published by the National Institute of Health (1985).
Experimental Design
At the end of acclimatization period the rats were randomly assigned into 5 groups (C1, C2, T1, T2 & T3) of ten animals. Group C1 (Control group 1) received distilled water, Group C2 (Control group 2) received 2% sucrose solution while Group T1 (Treated group 1), T2 (Treated group 2) and T3 (Treated group 3) received 10mg/kg caffeine in 2% sucrose solution, 25% ethanol in 2% sucrose solution and 10mg/kg with 25% of ethanol in 2% sucrose solution respectively for 7 weeks (49days).
Collection of Organs
The final body weights were taken and documented at the end of 7 weeks (49 days) of administration. The next day at 8.00 HRS GMT, all the rats were sacrificed by cervical dislocation. The cerebral cortex of the brain specimens was harvested, weighed, documented and immediately transferred to fixative (10% formol calcium) for routine histological paraffin embedding procedures and stained for Nissls substance using Cresyl violet as described by Venero, et al., [10].
Tissue Processing
The section was produced by normal routine histological methods of fixation, dehydration, impregnation, embedding, sectioning and staining with Nissls substance using Cresyl violet by Venero, et al., [10]. The micrographs of the relevant stained sections were subsequently taken with the aid of a light microscope.
Statistical Analysis
All the data were analyzed by analysis of variance (ANOVA) and post-hoc tests (Tukey HSD) used to determine the source of a significant effect. Results are expressed as Mean ± S.E.M., p<0.05 is taken as an accepted level of significant difference from vehicle or standard.
Result and Discussion
Results
Morphometric Analysis (Body Weight): Table 1 Revealed the body weight results for the five (n=5) Groups. The Wistar rats in Treated Groups showed changes in body weight during the period of caffeine and ethanol intake, except the Control Group C1 (Received distilled water) and Control Group C2 (Received 2% Sucrose solution), which has a gained of body weight from (159.7 ± 136) to (177.2± 10.53) for Control Group 1 and (159.4 ± 7.745) to (180.3± 9.718) for Control Group C2 (Received 2% Sucrose solution ) with significant (0.012 and 0.019) for the analysed body weight data obtained for the period of seven weeks (49 days) compared to analysed data results obtained for Treated Groups T1 (10mg/kg of Caffeine in 2% Sucrose solution), T2 (25% Ethanol in 2% Sucrose solution ) and T3 (10mg/kg Caffeine in 25% Ethanol in 2% Sucrose solution) which results showed detrimental body weight loss with insignificant ( P> 0.059, 0.067 and 0.075).
Table 1: Showed results for Mean ± S.E.M of the Body Weight.
Note*: Significance: P < 0.05, value greater than 0.05 are considered insignificant while values less than 0.05 are considered significant (*). Values are expressed as Mean ± Standard error of mean
Percentage Body Weight Loss and Gained: Table 2 Results showed percentage body weight loss and gained. The Control Group C1 which Received distilled water and Control Group C2 which Received 2% Sucrose solution showed gained in body weight with 17.5% for Control Group 1 and 20.9% for Control Group 2 compared to Treated Groups T1 (10mg/kg of Caffeine in 2% Sucrose solution), T2 (25% Ethanol in 2% Sucrose solution ) and T3 (10mg/kg Caffeine in 25% Ethanol in 2% Sucrose solution) which showed percentage lost in body weight with-10.7%,-26.7% and-27% respectively from data obtained and analysed (Figure 1).
Histological Evaluation Results for Groups
Control Group C1 (Distilled water): The cerebral cortex section for Control group C1 which received distilled waters appeared normal with evenly distributed pyramidal neuronal cells in the Internal pyramidal layer and glial cells. This outcome results indicated Control group C1 have normal cytoarchitecture in compared to the Treated groups.
Control Group C2 (2% Sucrose solution): The cerebral cortex section for Control group C2 which received 2% Sucrose solution appeared normal with evenly distributed pyramidal neuronal cells with prominent dendrites and evenly distributed glial cells with no cellular distortions in compared to the Treated groups
Treated Group T1 (10mg/kg Caffeine in 2% Sucrose solution): The cerebral cortex section for Treated group T1 showed few normal pyramidal neuronal cells with reduced distribution of the glial cells.
Treated Group T2 (25% Ethanol in 2%Sucrose solution): The cerebral cortex section showed Treated group T2 showed distorted pyramidal neurons cells with scantily distributed glial cells.
Treated Group T3 (10mg/kg Caffeine+25% Ethanol in 2% Sucrose solution): The cerebral cortex section showed distortion, diffusion and complete obliteration of pyramidal neurons cells with damaged nuclei and nucleoli leaving a central pale region and poorly sized glial cells that are scantily expressed.
Histological Observation (Photomicrograph of the Histology)
Control Group 1 Cerebral Cortex (Distilled water): (Figures 2 and 3)
Control Group 2 Cerebral Cortex (2% Sucrose solution): (Figures 4 and 5)
Treated Group T1 Cerebral Cortex (10mg/kg Caffeine in 2% Sucrose solution): (Figures 6 and 7)
Treated Group T2 Cerebral Cortex (25% Ethanol in 2%Sucrose solution): (Figures 8 and 9)
Treated Group T2 Cerebral Cortex (25% Ethanol in 2%Sucrose solution): (Figures 10 and 11) (Table 3)
Figure 2: Photomicrograph of cerebral cortex (Frontal lobe) (control section C1) showed the distinct different layers of MLL (Molecular layer)EGL (External grannular layer) EPL (External pyramidal layer)IGL (Internal grannular layer )IPL (Internal pyramidal layer) MFL (Multiform layer). The black arrow pointing to the Pial surface of the meningeal layer. Cresyl violet stain x 100.
Figure 3: Photomicrograph of cerebral cortex (Frontal lobe) (control section C) showed the IPL (Internal pyramidal layer).The Normally stained and evenly distributed pyramidal Neuronal cells (Green arrows) and glial cells(Black arrows) with no cellular distortions . Cresyl violet stain x 400.
Figure 4: Photomicrograph of cerebral cortex (Frontal lobe) (control section C2) showed the distinct different layers of MLL(Molecular layer) EGL (External grannular layer) EPL (External pyramidal layer) IGL (Internal grannular layer ) IPL (Internal pyramidal layer)MFL (Multiform layer).Note the black arrow pointing to the Pial surface of the meningeal layer. Cresyl violet stain x 100.
Figure 5: Photomicrograph of cerebral cortex (Frontal lobe) (control section C2) showed the IPL (Internal pyramidal layer). The normally stained and evenly distributed pyramidal Neuronal cells with prominent dendrites (Green arrows) and evenly distributed glial cells(Black arrows) with no cellular distortions . Cresyl violet stain x 400
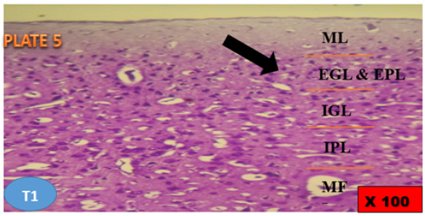
Figure 6: Photomicrograph of cerebral cortex (Frontal lobe) (Treatment section T1) showed the distinct different layers of MLL (Molecular Layer)EGL (External Grannular Layer)EPL (External Pyramidal Layer IGL (Internal Grannular Layer )IPL (Internal Pyramidal Layer). MFL (Multiform layer).Note the black arrow pointing to the Pial surface of the meningeal layer. Cresyl violet stain x 100.
Figure 7: Photomicrograph of cerebral cortex (Frontal lobe) (Treatment section T1) showed the IPL (Internal pyramidal layer).
Note*: Few normal (Green arrows) and distorted (Blue arrows) neuronal cells with reduced distribution of the glial cells (Black arrows). Cresyl violet stain x 400.
Figure 8: Photomicrograph of cerebral cortex (Frontal lobe) (Treatment section T2) showed the distinct different layers of MLL(Molecular layer) EGL (External Grannular Layer) EPL (External Pyramidal Layer) IGL (Internal grannular layer ) IPL (Internal Pyramidal Layer). MFL (Multiform layer).Note the black arrow pointing to the Pial surface of the meningeal layer. Cresyl violet stain x 100.
Figure 9: Photomicrograph of cerebral cortex (Frontal lobe) (Treatment section T2) showed the IPL (Internal pyramidal layer).
Note*: Few distorted (Green arrows) neurons with scantily distributed glial cells (Black arrows). Cresyl violet stain x 400.
Figure 10: Photomicrograph of cerebral cortex (Frontal lobe) (Treatment section T3) showed the distinct different layers of MLL(Molecular layer EGL (External grannular layer)EPL (External pyramidal layer IGL (Internal grannular layer )IPL (Internal pyramidal layer). MFL (Multiform layer).Note the black arrow pointing to the Pial surface of the meningeal layer. Cresyl violet stain x 100.
Figure 11: Photomicrograph of cerebral cortex (Frontal lobe) (Treatment section T3) showed the IPL (Internal pyramidal layer). Note neuronal distortion showing complete obliteration of pyramidal neurons(Green arrows) with damaged nuclei and nucleoli leaving a central pale region and poorly sized glial cells (Black arrows) Cresyl violet stain x 400.
Discussion
One of the most important parts of the human body is the brain and this is because it is the seat of cognition and thinking. The cerebral cortex on the other hand plays a very important role in learning and different forms of memory, most especially its role in the consolidation of long-term memory [11]. It has been argued over time that caffeine and ethanol inhibit cerebral cortex neurogenesis in the brain [12].
Influence of Ethanol and caffeine on body and Brain weight in Treated Groups Compared to Control Groups
The results of this experiment indicated that there was a significant (P < 0.05) increase in the body and brain weights (g), of the control group and an insignificant (P < 0.05) decrease in the relative weight (%) of the brain of the treated animals.
In the present study, the reduced dietary intake in the group’s receiving ethanol was counter-balanced by the energy value of consumed ethanol. Moreover, the resultant total energy supply in the groups’ receiving ethanol was not lower than for the control groups.
Prolonged ethanol consumption may cause disturbances in the metabolism of macro-nutrients and micronutrients, including decreased digestion and absorption of impaired transport and utilization of nutrients, because of the influence of ethanol on the stomach [13] and intestines [14]. Simultaneously, ethanol consumption may increase the excretion of nutrients that may increase the risk of deficiency and malnutrition [15]. Therefore, prolonged ethanol consumption shows a result in lower body mass gain in animals with ethanol intake comparison with animals that do not receive ethanol.
Histological Observation
Ethanol and caffeine could affect the structural integrity of certain parts of the cerebral cortex formation. Demonstration of Nissl bodies The Cresyl violet staining technique helps to understand the cytological conditions of the demonstrated cells by demonstrating the Nissl bodies or materials in the cell. Photomicrographs of the cerebral cortex of the Group C1 (Control) experimental animals showing distinct cells. Cerebral Cortex is demonstrated with structurally normal of MLL, EGL, EPL, IGL, IPL and MFL. Photomicrographs of the cerebral cortex of the Group C2 (Control) experimental animals showed normal structures of the cells.
Photomicrographs of the cerebral cortex of Group T1(10mg/kg of caffeine) experimental animals showed that the cerebral cortex cells stain relatively less intensely for Nissl bodies. These effects are attributable to caffeine effects at the dose employed.
Photomicrographs of the cerebral cortex of Group T2 (25% ethanol) experimental animals show sparse cell structure and they stained relatively less intensely for Nissl bodies. Ethanol in high dose, as seen in the research, therefore affected cerebral cortex cells and their expression of Nissl bodies and an indication of cytoplasmic functional integrity relative to the synthesis of protein [16].
Photomicrographs of the cerebral cortex Group T3(10mg/kg of caffeine+25% of ethanol) experimental animals showed neuronal distortion and complete obliteration of pyramid neurons.
Conclusion
These findings showed that the combined abuse of ethanol and caffeine is more deleterious to the functionalities of the cerebral neuron as shown by neuronal damages in the cerebral cortex. Further studies on the mechanism of neuronal damage from the combined drinks of ethanol and caffeine is therefore recommended.
Declarations
Ethics Approval
The animals used were in accordance with the rules and guidance of Ladoke Akintola University of Technology, Faculty of Basic Medical Sciences, Ogbomosho, Oyo State, Nigeria.
Data Availability Request
The data generated during the study will be provided on a reasonable request from corresponding author.
Declaration of Interests Statement
We wish to confirm that there are no known conflicts of interest associated with this publication and there has been no significant financial support for this work that could have influenced its outcome.
Funding Statement
There was no particular grant for this research from any funding body in the public, private, or any otherwise domains.
References
- IARC (1991) Coffee, tea, mate, methylxanthines and methylglyoxal. IARC Monogr Eval Carcinog Risks Hum 51: 1-513.
- Bertil B Fredholm, Karl Bättig, Janet Holmén, Astrid Nehlig, Edwin E Zvartau (1999) Pharmacological Reviews. 51(1): 83-133.
- Heckman MA, Weil J, De Mejia EG (2010) Caffeine (1, 3, 7-trimethylxanthine) in Foods: A Comprehensive Review on Consumption, Functionality, Safety, and Regulatory Matters. J Food Sci 75(3): 77-87.
- Mahoney CR, Giles GE, Marriott BP, Judelson DA, Glickman EL, et al. (2019) Intake of caffeine from all sources and reasons for use by college students. Clin Nutr 38(2): 668-675.
- Merighi S, Travagli A, Nigro M, Pasquini S, Cappello M, et al. (2023) Caffeine for Prevention of Alzheimer’s Disease: Is the A2A Adenosine Receptor Its Target? Biomolecules 13(6): 967.
- Kim Tae Kyoung, Sedlak L David (2023) Mineralization of a fully halogenated organic compound by persulfate under conditions relevant to in situ reduction and oxidation: Reduction of Hexachloroethane by ethanol. Environmental Science and Technology 57(36): 13691-13698.
- Zarzar PM, Jorge KO, Oksanen T, Miriam P Vale, Efigênia F Ferreira, et al. (2012) Association between binge drinking, type of friends and gender: A cross-sectional study among Brazilian adolescents. BMC Public Health 12: 257.
- Spear LP (2000) The adolescent brain and age-related behavioral manifestations. Neurosci Biobehav Rev 24(4): 417-463.
- Beenstock Jane, Adams Jean, White Martin (2011) The association between time perspective and alcohol consumption in university student’s cross-sectional study. European Journal of Public Health 21(4): 438-43.
- Venero JL, Vizuete ML, llundain AA, Machado A, Echevarria M, et al. (1999) Detailed localization of aquaporin-4 messenger RNA in the CNS: preferential expression in periventricular organs. Neuroscience 94(1): 239-250.
- Squire LR, Genzel L, Wixted JT, Morris RG (2015) Memory Consolidation. Cold Spring Habor Perspectives in Biol 7(8):
- Pinheiro Bruno Gonçalves, Diandra Araújo Luz, Sabrina de Carvalho Cartágenes, Luanna de Melo Pereira Fernandes, Sarah Viana Farias, et al. (2022) The Role of the Adenosine System on Emotional and Cognitive Disturbances Induced by Ethanol Binge Drinking in the Immature Brain and the Beneficial Effects of Caffeine. Pharmaceuticals 15(11): 1323.
- Malik Vasanti S, Barry M Popkin, George A Bray, Jean Pierre Després, Walter C Willett, et al. (2010) Sugar-Sweetened Beverages and Risk of Metabolic Syndrome and Type 2 Diabetes: A meta-analysis. Diabetes Care 33 (11): 2477-2483.
- Howard MA, Marczinski CA (2010) Acute effects of a glucose energy drink on behavioral control. Experimental and Clinical Psychopharmacology, 18(6), 553-561.
- Butchko Harriett H, W Wayne Stargel, C Phil Comer, Dale A Mayhew, Christian Benninger, George L Blackburn, et al. (2002) Aspartame: review of safety." Regulatory Toxicology and Pharmacology 35(2): S1-S93.
- Takahashi Reinaldo Naoto, Pamplona Fabricio Alano, Prediger Rui Daniel Schroder (2008) Adenosine receptor antagonists for cognitive dysfunction: a review of animal studies. Frontiers in Bioscience 13: 2614-2632.




We use cookies to ensure you get the best experience on our website.