Case Report
Creative Commons, CC-BY
Management of Renal Transplant Artery Pseudoaneurysm with Percutaneous Endovascular Coil Embolization: A Case Study
*Corresponding author: Atta Nawabi MD, MBA, FACS, FICS, Associate Professor of surgery division of HPB, and transplant, Department of surgery, 3901 Rainbow Boulevard Kansas City, KS 66160, USA.
Received: April 23, 2024; Published: April 25, 2024
DOI: 10.34297/AJBSR.2024.22.002940
Abstract
Transplant renal artery pseudoaneurysm can result in bleeding, graft dysfunction, lower limb ischemia, and death. Various open and endovascular techniques have been described to manage transplant renal artery pseudoaneurysms. Our case describes the management of a patient who underwent renal transplant who developed a pseudoaneurysm of an inferior pole artery using percutaneous endovascular intervention with coil embolization of the pseudoaneurysm with graft salvage without r-initiation of hemodialysis.
Keywords: Renal artery pseudoaneurysm, Endovascular, PSA, Transplanted kidney
Introduction
Transplant renal artery pseudoaneurysm is an often-late presenting complication after renal transplant [1]. Management of transplant artery pseudoaneurysms include open and endovascular options. In a stable patient, various endovascular techniques have shown success in both treatment of the vascular complication and graft salvage [2-6]. We describe the successful treatment of a large pseudoaneurysm arising from an inferior pole artery of a renal transplant with endovascular coiling with preserved graft function.
Case Presentation
61-year-old male developed end stage renal disease secondary to atypical Hemolytic Uremic Syndrome (a HUS) and has been on peritoneal dialysis for four years. He underwent decease donor kidney transplantation. The allograft has two arteries: one main and one lower pole artery that were transplanted on a single Carrell patch to the left external iliac vessels.
Post kidneys transplant he received standard immunosuppression regimen. His post-operative course was complicated by multiple readmissions for failure-to-thrive, Clostridium difficile and strangulated femoral hernia on the opposite of kidney transplant site on the Right lower quadrant. with small bowel resection and primary anastomosis.
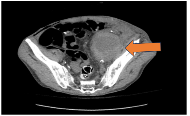
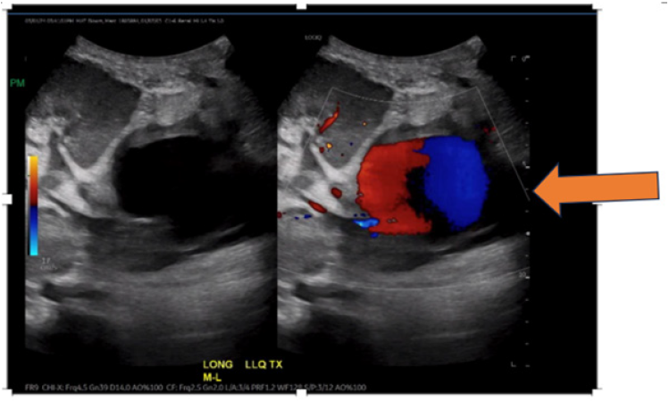
Due to consistent pain at the Left lower quadrant, CT abdomen and pelvis was obtained that revealed a heterogenous mass just inferior to the transplant kidney measuring an estimated 7x5.7cm (Figure 1). An ultrasound of the transplanted kidney revealed a large Pseudoaneurysm (PSA) in the deep iliac fossa just inferior to the graft (Figure 2).
Figure 1: axial CT image: heterogenous mass just inferior to the transplant kidney measuring an estimated 7 cm x 5.cm (add arrow).
Figure 2: doppler US transplant kidney: thick-walled round fluid collection in the deep iliac fossa inferior to the graft measuring 6cm in diameter with internal arterialized waveform with yin-yang morphology, consistent with pseudoaneurysm.
He subsequently underwent aortoiliac angiogram by interventional radiology at our institution which revealed a large pseudoaneurysm 5.2 cmx4.3cm arising from the lower pole renal transplanted artery. The PSA selectively and successfully coiled (Figures 3,4). Post procedure, he did well and discharge home without any y adverse effects from the endovascular procedure and remains off dialysis.
Discussion
Renal transplant is the treatment of choice for many end-stage renal patients [7]. Potential complications from renal transplant include renal artery and vein stenosis, thrombosis, fistulas, or pseudoaneurysms formation [1,8]. These vascular complications can be further classified as extrarenal or intrarenal and infective or non-infective based on their etiology [9]. These complications may arise late post-transplant and can be symptomatic or asymptomatic. Asymptomatic vascular complications should be considered in the case of declining graft function on routine labs. Symptomatic vascular pathologies may present as pain or weakness in the lower extremity, fevers, and in severe situations limb ischemia, hemorrhagic shock, or death.
Management of renal artery pseudoaneurysms include both open and endovascular repair, often dictated by patient stability and anatomic considerations. With open repair, pseudoaneurysm resection and angioplasty may be performed. In life-threatening situations, ligation or explant of the graft could be required. Endovascular options include stent placement, coil embolization, and thrombin injection [4,6,10]. These methods have been successfully used to treat pseudoaneurysms and several cases have been described with preserved renal graft function.
Our case is unique in that it describes the selective embolization of an accessory inferior pole renal artery without compromising the transplanted kidney function. In our patient, the size of the pseudoaneurysm and associated risk of rupture outweighed the potential risk of graft loss. While his renal function slightly impacted by the embolization, but, he remained off hemodialysis. We therefor show evidence that post kidney transplant pseudoaneurysms formation may be treated with minimally invasive methods while maintaining graft function.
Acknowledgement
None.
Conflict of Interest
None.
References
- Aktas S, Boyvat F, Sevmis S, Moray G, Karakayali H, et al. (2011) Analysis of vascular complications after renal transplantation. Transplant Proc 43(2): 557-561.
- Asztalos L, Olvaszto S, Fedor R, Szabo L, Balazs G, et al. (2006) Renal artery aneurysm at the anastomosis after kidney transplantation. Transplant Proc 38(9): 2915-2918.
- Kountidou CS, Stier K, Niehues SM, Lingnau A, Schostak M, et al. (2012) Successful repair of post-transplant mycotic aneurysm of iliac artery with renal graft preservation: a case report. Urology 80(5): 1151-1153.
- Zavos G, Pappas P, Kakisis JD, Leonardou P, Manoli E, et al. (2005) Endovascular repair as first-choice treatment of iliac pseudoaneurysms following renal transplantation. Transplant Proc 37(10): 4300-4302.
- Marie Y, Kumar A, Hinchliffe S, Curran S, Brown P, et al. (2018) Treatment of transplant renal artery pseudoaneurysm using expandable hydrogel coils: A case report and review of literature. World J Transplant 8(6): 232-236.
- Smeds MR, Ofstein R, Peterson GJ, Peterson BG, Jacobs DL (2013) Endovascular repair of a para-anastomotic pseudoaneurysm after renal autotransplantation: an alternative to open reconstruction. Ann Vasc Surg 27(1): 110 e5-8.
- Andre M, Huang E, Everly M, Bunnapradist S (2014) The UNOS Renal Transplant Registry: Review of the Last Decade. Clin Transpl: 1-12.
- Dimitroulis D, Bokos J, Zavos G, Nikiteas N, Karidis NP, et al. (2009) Vascular complications in renal transplantation: a single-center experience in 1367 renal transplantations and review of the literature. Transplant Proc 41(5): 1609-1614.
- Nguan CY, Luke PP (2006) Renal artery pseudoaneurysm of infectious etiology: a life-threatening complication after renal transplantation. Urology 68(3): 668-669.
- Kubal C, Cacciola R, Riley P, Ready A (2007) Internal iliac artery pseudoaneurysm following renal transplant biopsy successfully treated with endovascular stenting and thrombosis: a case report. Transplant Proc 39(5): 1676-1678.



We use cookies to ensure you get the best experience on our website.