Research Article
Creative Commons, CC-BY
Comparative Effect of Selected Ergot-Derived Dopamine on the Kidney Function of Wistar Rats
*Corresponding author: Odinga Tamuno Boma, Department of Biochemistry, Faculty of Science, Rivers State University, Nigeria.
Received: April 05, 2022; Published: April 11, 2022
DOI: 10.34297/AJBSR.2022.16.002190
Abstract
Ergot derived dopamine are chemical derivatives used in the treatment of certain conditions and disorders. The use of these drugs, despite its numerous heath advantages can pose a threat to the health and general metabolism when administered in unprescribed doses and time. This study evaluated the comparative effect of bromocriptine and cabergoline on the functionality and integrity of the Kidney. Twenty albino rats of wistar grain, weighing between 100-180g were used for this study. They were grouped into 5 groups with each of the group containing 5 rats. Group 1 was the control group, Group 2-5 were Low dose Bromocriptine, High dose Bromocriptine, Low dose Cabergoline, and High dose Cabergoline respectively. The drugs were administered at the various doses on a 24-hour basis. After a period of 21 days, the animals were sacrificed and blood samples were collected for bioassay on the urea, creatine and serum electrolytes as indicators of kidney function using Standard laboratory procedures, the kidney was harvested for histological examination.
Result obtained from analysis revealed an increase in the serum urea and creatinine concentrations when administered all the doses of the drugs in comparison with the control group. However, the increases in the wistar rats administered doses of Bromocriptine was not statistically significant, while those administered Cabergoline were statistically significant at p value 0.05. An increase in the serum HCO-3 level was observed in all groups of animals administerd various doses of the drugs of study, the most increase was observed in the High dose Cabergoline. The increases were not significant at 0.05 level. K+ and Na+ serum concentrations were observed to decrease when administered the various doses of the drugs in comparison to the control group, with exception of Low dose Bromocriptine which increased the K+ and Na+ levels of the blood. The variations were however not statistically significant. A significant decrease at 0.05 p value was observed in the serum concentration of Cl- for all groups administered various doses of drugs in comparison to the control group.
The histological examination of the kidney revealed that administration of low and high doses of Bromocriptine caused inflammation of glomerulus, necrosis of proximal and distal tubules, glomerulonephritis with mild expansion of the urinary space, while the doses of Cabergoline caused glomerulonephritis with expansion of the urinary space and thickening of the basement membrane, glomerulonephritis with mild expansion of the urinary space. The findings of this study suggests both Bromocriptine and Cabergoline should be taken on prescription only with strict adherence, however, a check on the status of the kidney is necessary for those on such medication as alterations in the concentrations of the kidney function biomarkers were observed insignificantly, with the most for increase in Cabergoline.
Keywords: Bromocriptine, Cabergoline, Kidney Function, Urea, Creatinine, Serum Electrolytes
Introduction
Bromocriptine and cabergoline are drugs used in the treatment of hyperprolactinemia, they are able to normalize the prolactin levels [1]. They are long-acting dopamine-agonist drugs that suppresses prolactin secretion and restores gonadal function in women with hyperprolactinemic amenorrhea [2]. Dopamine D2 receptor agonist are shown to be a very important class of drugs for treatment of different diseases. They are widely used for parkinson and hyperprolactinemia. Bromocriptine treats hyperprolactinemia by decreasing the amount of growth hormone in the body, it treats parkinson’s disease by stimulating the nerves that control movement. The secretion of prolactin by the anterior pituitary is mainly under hypothalamic inhibitory control, likely exerted through release of dopamine by tuberoinfundibular neurons [3]. Cabergoline is a long-acting dopamine receptor agonist with high affinity for D2 receptors. Results of in vitro studies [4] demonstrates that cabergoline exerts a direct inhibitory effect on the secretion of prolactin by rat puititary lactotrophs.
Several comparative studies considered Cabergoline to be efficacious to Bromocriptine for the treatment of hyperprolactinemia and its effectiveness in many patients’ resistance to bromocriptine [5], also, the ability of Cabergoline and Bromocriptine to inhibit congestive heart failure and symptoms of kidney dysfunction [6]. The necessity to monitor metabolic parameters in patients with prolactinoma, as there was significant improvement and free total testosterone were restored to normal range was reported [7]. Cabergoline and Bromocriptine had no adverse effects on the female reproductive hormones, however, Cabergoline may pose greater effectiveness than bromocriptine, hence adherence to prescription is necessary for effectiveness [8]. The kidneys play a central role in the regulation of body fluids, electrolytes and acid-base balance. Chronic Kidney dysfunction predictably result in multiple derangements including hyperkalemia, metabolic acidosis and hyperphosphatemia which, in turn, lead to serious complications including muscle wasting, bone-mineral disorder, vascular calcification and mortality [9].
An imbalance in the serum electrolyte can lead to kidney dysfunction, the most common imbalances occurs with sodium and potassium, affect the transmission of impulses of the nerves and muscles throughout the body which can have serious implications or complications [10]. Researchers have also found that the progression of Chronic Kidney Dysfunction is one of the most common causes of the electrolyte disorders which increases the mortality rate [11,12]. The most common electrolyte disorders associated with the renal failure are potassium, sodium, magnesium, phosphorus and calcium that can further lead to serious complications like a bone demineralization, muscle wasting, vascular calcification and even can result a death [13]. Bromocriptine and Cabergoline has been reported to exhibit some adverse effects; low blood sugar headache, hunger, weakness, sweating, irritability, trouble concentrating, uncontrolled muscle movement, bloody or tarry stools, high blood pressure (blurred vision, chest pain, shortness of breath, uneven heart beats seizures) loss of balance of coordination etc [14].
The use of these drugs, despite its numerous heath advantages can pose a threat to the health and general metabolism when administered in unprescribed doses and time [15]. It is against these back draws that the need to investigate their effects on the kidney function was conceived, hence this study comparatively evaluated the effect of administration of Bromocriptine and Cabergoline on the Urea, Creatinine and Serum electrolytes as indicators of the kidney function.
Materials and Methods
Experimental animals
Twenty-five adults female Wistar rats were obtained from Rivers State University Animal house, Port Harcourt. They were weighed and grouped into five groups based on their body weight, acclimatized for seven days and kept under standard conditions and given standard animal feed and water ad libitum. All animals were handled in accordance with the Guide for the care and use of laboratory Animals prepared by the National Academy of Sciences and published by the National Institute of Health Guide for the use of Laboratory Animal.
Drugs of study
Bromocriptine (2.5mg tablet) and Cabergoline (0.5mg) were purchased from a Medical Pharmacy in Port Harcourt, Rivers State, Nigeria for this study.
Experimental grouping/Administration:
The adult female Wistar rats were placed into five different
groups:
a. Group 1 (control): Feed + Water ad libitum
b. Group 2: LD Bromocriptine (2.5mg/kg BW) + feed + water
c. Group 3: HD Bromocriptine (5mg/kg BW) + Feed + Water
d. Group 4: LD Cabergoline (0.5mg/kg BW) + Feed + Water
e. Group 5: HD Cabergoline (1.0mg/kg BW) + Feed + Water
The administration was carried out on a twenty-four hourly basis and the mode of administration was done by means of oral galvage and lasted for a duration of twenty-one days.
(HINT: BW means Body weight, LD means Low dose, HD means High dose)
Sample collection
At the end of the period of administration, the animals were sacrificed, blood samples were collected into plain sample bottles for assay of the Urea, Creatinine and Electrolytes and the kidney were harvested for histological examination. Urea was determination in Serum using the Urea Berthelot method, Creatinine was determined using the Colorimetric method while serum concentrations of sodium, potassium, chloride and bicarbonate were determined using an electrolyte auto-analyser: Landwind LW E60B.
Data analysis
The results obtained were analyzed using SPSS version 25 software for One-way Analysis of Variance, thereafter, the Turkey Post Hoc was done for multiple comparison. The significance level was set at p<0.05
Results
The Chart on [Figure 1] revealed that administration of all doses of the drugs of study (Bromocriptine and Cabergoline) caused a reduction in the weight of the experimental animals.
Figure 1: Mean weight of albino rats before and After administration.
Note: LDB: Low dose bromocriptine; HDB: High dose bromocriptine; LDC: Low dose cabergoline; HDC: High dose cabergoline.
The results on [Table 1] for the effect of bromocriptine and cabergoline on Urea and Creatinine in the animals of study revealed that; Bromocriptine and Cabergoline at both low and high doses increased the Urea and Creatinine, however, the increase in Cabergoline was significant at P value 0.05 level [Table 2]
Histological Examination of the Kidney
The histological examination of the kidney of the albino rats of
study revealed the following:
Control group: showed the kidney tissue with normal
glomerulus, proximal tubules and distal tubules.
Low Dose Bromocriptine group: revealed inflammation of
glomerulus and necrosis of proximal and distal tubules.
High Dose Bromocriptine group: was shown to have
glomerulonephritis with mild expansion of urinary space.
Low Dose Cabergoline group had glomerulonephrititis with
expansion of the urinary space and thickening of the basement
membrane.
High Dose Cabergoline group showed glomerulonephritis with
mild expansion of the urinary space.
Discussion
The kidney as an organ of the body is saddled with the responsibility of regulating the serum electrolyte balance, homeostasis, acid-base balance, removal of metabolic waste, osmoregulation, amongst other. An alteration or impairment in the functionality and integrity of the kidney can be catastrophic to the whole-body process, hence a need to intermittently evaluate the status of the kidney. Moreso, researches have reported the adverse effects of most xenobiotics to be associated with dysfunctionality of the kidney [15] (Odinga et al., 2020). This study comparatively evaluated the effect of administration of low and high doses of Bromocriptine and Cabergoline which are drugs of the ergotderived dopamine on the urea, creatinine and serum electrolyte concentrations, as indicators of kidney function in albino rats of wistar strain. Figure 1 shows the mean weight of the animals of study, before and after administration of drugs. The chart shows a reduction in the weight of the experimental animals administered the various doses of Bromocriptine and Cabergoline.
A reduction in the weight of experimental animals on administration of dopamine agonist has been reported, stating that the reduction may be due to the action of the drugs as a dopamine agonist which is necessary for regulating body’s energy expenditure [16,17]. The results as shown in table 1 on the urea and creatinine concentration of the experimental animals administered various doses of Bromocriptine and Cabergoline opined that the concentration of Urea in the animals administered the low and high doses of Bromocriptine increased when compared to the control group. A significant increased variation in urea was observed in the group administered low and high concentration of Cabergoline. Cabergoline caused the most increase in the Urea concentration in the experimental animals. The same trend as Urea was observed in the concentration of Creatinine in all groups. Urea accounts for the majority (up to 80%–90%) of the Non-Protein Nitrogens excreted by the body. The concentration of urea is dependent on protein intake, the body’s capacity to catabolize protein, and adequate excretion of urea by the renal system [18].
The body’s dependency on the renal system to excrete urea makes it a useful analyte to evaluate renal function. An increase in serum urea can be the result of a diet that is high in protein content or decreased renal excretion [19]. High level of creatinine and urea concentrations may be attributed to lower glomerular filtration in the kidneys and reflects a defect in the kidney tubes [20]. The increase in serum Urea and Creatine levels may be attributed to the administration of the drugs of study; Bromocriptine and Cabergoline. Table 2 shows the concentration of the serum electrolytes of the experimental animals when administered various doses of Bromocriptine and Cabergoline. An imbalance in the serum electrolyte has been reported to be an implication of various disorders such as kidney failure, heart failure, diabetes, cirrhosis, medications such as diuretics, antibiotics, and chemotherapy drugs and alcoholism [21,22]. Hyperchloremia, hypochloremia, Hyperkalemia, has been both linked to disorders, amongst which is kidney failure, also Hyperkalemia has been said to be triggered by Kidney failure [23].
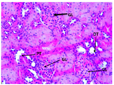
Figure 2: Photomicrograph section of kidney from control rats showing normal glomerulus (GL), proximal tubules (PT) and distal tubules (DT). H&E X400
Figure 3:Photomicrograph section of kidney tissue for Low dose bromocriptine showing inflammation of glomerulus (IGM) and necrosis of proximal (NPT)and distal tubules (NDT). H&E X400
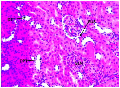
Figure 4:Photomicrograph section of kidney tissue for High dose Bromocriptine showing lomerulonephritis (GLN) with mild expansion of the urinary space, (EUS). H&E X400
Figure 5: Photomicrograph section of kidney tissue for Low Dose Cabergoline showing glomerulonephritis (GLN) with expansion of the urinary space and thickening of the basement membrane (EUS). H&E X400
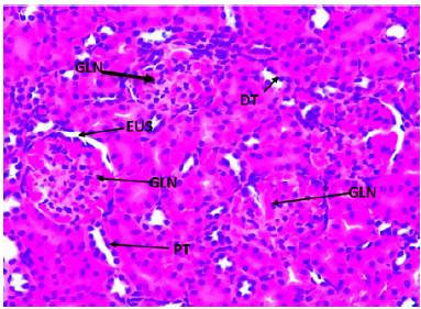
Figure 6: Photomicrograph section of kidney tissue for High dose Cabergoline showing glomerulonephritis (GLN) with mild expansion of the urinary space, (EUS). H&E X400
The concentration of Bicarbonate HCO3- from the results increased in the serum of the animals administered the low and high doses of Bromocriptine and Cabergoline, the most increased was observed in the group administered the doses of Cabergoline when compared to the control group. The observed variations were not significant at P value 0.05. As renal function declines, the kidneys progressively lose the capacity to synthesize ammonia and excrete hydrogen ions [24], Consequently, low bicarbonate levels are more common in patients with lower estimated glomerular filtration rate. The serum concentration of Potassium and Sodium decreased in all groups administered high doses of Bromocriptine, Low and high doses of Cabergoline when compared to the control group. The more derease was observed in Cabergoline, while the Low dose Bromocriptine increased the concentration of Potassium and Sodium. A significant decrease at P value 0.05 was observed for the concentration of Chloride was observed in all the experimental animal groups administered low and high doses of Bromocriptine and Cabergoline, the most decrease occurred with the high dose Bromocriptine. A significant alteration in the levels of serum Electrolytes has been reported to be indicative of kidney impairment [25].
The histological examination of the kidney revealed normal glomerulus, proximal tubules and distal tubules for the control group, inflammation of glomerulus and necrosis of proximal and distal tubules for the Low dose Bromoocriptine group, glomerulonephritis with mild expansion of the urinary space for the High Dose Bromocriptine, glomerulonephritis with expansion of the urinary space and thickening of the basement membrane for the Low dose Cabergoline, and glomerulonephritis with mild expansion of the urinary space for the High dose Cabergoline group.
Conclusion
Despite the alterations in the Serum electrolyte value, there were no statistical difference compared to the control group, except for chloride. The Urea and Creatinine also varied insignificantly in comparison to the control group. Cabergoline had more significant effect on urea and creatine, but has no significant effect on the electrolytes. The findings of this study suggests both Bromocriptine and Cabergoline should be taken on prescription only with strict adherence, however, a check on the status of the kidney is necessary for those on such medication as alterations in the concentrations of the kidney function biomarkers were observed insignificantly, with the most for increase in Cabergoline.
Acknowledgement
The authors acknowledge the contributions of Miss Otika Perpetual, Miss Okojaja Kalanne and Mr. Barine Rogers during the period of the research.
Conflict of Interest
The authors declare no conflict of interest
References
- Sabuncu T, Arikan E, Hatemi H (2001) Comparison of the effects of cabergoline and bromocriptine on prolactin levels in hyperprolactinemic patients. Intern Med 40(9): 857-861.
- Webster J (1996) A comparative review of the tolerability profiles of dopamine agonists in the treatment of hyperprolactinaemia and inhibition of lactation. Drug saf 14(4): 228-238.
- Toulis KA, Robbins T, Reddy N (2018) Males with prolactinoma are at increased risk of incident cardiovascular disease. Clin Endocrinol (Oxf) 88(1): 71-76.
- Mohammed AF, Hekma AL, Mohammed EY, May AG, Sherifa K, et al. (2021) Therapeutic activity of sarpogrelate and dopamine D2 receptor agonists on cardiovascular and renal systems in rats with alloxan- induced diabetes. BMC pharmacol Toxicol 22(1): 64.
- Mahmood IH, Al Husaynel AJ, Shatha HM (2010) Comparative effects of Bromocriptine and Cabergoline on serum prolactin levels, liver and kidney function tests in hyperprolactinemic women. Pakistan Journal of Medical Sciences. 26(6): 255-260.
- Stier CJ, Cowden EA, Allison ME (1982) Effects of Bromocriptine on single nephron and whole kidney function in rats. J Pharmacol Exp Ther 220 (2): 366-370.
- Posawetz AS, Trummer C, Pandis M, Aberer F, Pieber TR, et al. (2021) Adverse body composition and lipid parameters in patients with prolactinoma: a case-control study. BMC endocrine disorders 21(1): 81.
- Odinga T, Enebeli SK, Austin Asomeji I, Ohaka JC, Gabriel Brisibe CU (2022) Assessment on the effect of selected ergot-derived dopamine on the liver functionality and integrity in wistar rats. World Journal of Pharmaceutical and Life Sciences 8(3): 27-35.
- Dhondup T, Qian Q (2017) Electrolyte and acid-base disorders in chronic kidney disease and end-stage kidney failure. Blood Purif 43(1-3): 179-188.
- Schrier RW (2010) Renal and electrolyte disorders: Lippincott Williams & Wilkins.
- Luo J, Brunelli SM, Jensen DE, Yang A (2016) Association between serum potassium and outcomes in patients with reduced kidney function. Clin J Am Soc Nephrol 11(1): 90-100.
- Levin A, Bakris G, Molitch M, Smulders M, Tian J et al. (2007) Prevalence of abnormal serum vitamin D, PTH, calcium, and phosphorus in patients with chronic kidney disease: results of the study to evaluate early kidney disease. Kidney International 71(1): 31-38.
- Alcázar RA (2008) Electrolyte and acid-base balance disorders in advanced chronic kidney disease. Nefrologia. 28(3): 87-93.
- John PC (2021) Bromocriptine, cabergoline. https://www.rxlist.com/consumer_bromocriptine_cycloset_parlodel/drugs-condition.htm
- Odinga T, Gabriel Brisibe CU, Opusunju BH, Okwakpam FN, Azonwu O et al. (2018) Synergistic Ingestion of Tramadol, Calabash Chalk (Nzu), Cigarette, Alcohol and Codeine: It’s Impact on the Renal and Hepatic Function of Male Humans, Jornal of Medicinal Chemistry and Toxicology 4(1): 1-5
- Odinga T, Enebeli SK, Austin Asomeji I, Ohaka JC, Popnen GT et al. (2022) Comparative evaluation on the effect of selected ergot-derived dopamine on some female reproductive hormones in Wistar rats. International Journal of Science and Research Archive 5(1): 103-107.
- Al Hamdani NMH, Ali AMH, Al Khatib BYH, Al Shaibani ES (2020) The Effect of Bromocriptine on the Liver of Immature Female Rats. PSM Biological Research 5(1): 30-39.
- Burtis C, Ashwood E, Bruns D, Tietz WT (2008) Fundamentals of Clinical Chemistry 6th ed. Philadelphia PA Saunders.
- Jose H Salazar MS MLS(ASCP)CM (2014) Overview of Urea and Creatinine. Laboratory Medicine 45(1): e19-e20.
- Uchino S, Bellomo R, Goldsmith D (2012) The meaning of the blood urea nitrogen/creatinine ratio in acute kidney injury. Clin Kidney J 5(2): 187-191.
- Pasia M (2017) Ostomy nutrition guide.
- Fluid and electrolyte balance (2019) medlineplus.gov/fluidandelectrolytebalance.html
- Liamis G, Liberopoulos E, Barkas F, Elisaf M (2014) Diabetes mellitus and electrolyte disorders. World J Clin Cases 2(10): 488-496.
- Yaqoob MM (2010) Acidosis and progression of chronic kidney disease. Curr Opin Nephrol Hypertens 19(5): 489-492.
- Imo C, Arowora KA, Ezeonu CS, Yakubu OE, Nwokwu D Azubuike (2018) Effects of ethanolic extracts of leaf, seed and fruit of Datura metel L. on kidney function of male albino rats. Journal of traditional and complementary medicine 9(4): 271-277.



We use cookies to ensure you get the best experience on our website.