Case Report
Creative Commons, CC-BY
Efficacy of Sputnik Vaccine Against Fatality Outcomes in a COPD Patient with COVID-19
*Corresponding author: A Ramírez-Venegas, Tobacco Smoking and COPD Research Department, Instituto Nacional de Enfermedades Respiratorias “Ismael Cosío Villegas”, Mexico.
Received: April 30, 2021; Published: May 18, 2021
DOI: 10.34297/AJBSR.2021.12.001810
Abstract
Patients with chronic obstructive pulmonary disease (COPD) are at increased risk of poor outcomes in COVID-19 including mortality. During this pandemic, Mexico has been one of the top countries with the highest death rates in the world. Vaccination against COVID-19 has become the most important tool for mitigating the pandemic and preventing deaths specialty in populations with high risk of poor outcomes such as COPD. However, the impact of the vaccine to prevent this disease is not clear yet. We report the case of a patient with COPD and frequent exacerbations who after ten days of receiving her complete immunization for COVID-19 presented moderate COVID-19 symptoms without presenting any serious outcomes. As far as we know this is the first case report of COVID-19 after vaccination in a high-risk patient with COPD. First of all, this case shows that after vaccination it is still possible to develop COVID-19 but more importantly the usefulness of vaccination to avoid serious outcomes in vulnerable populations such as COPD.
Keywords: Breast cancer; Hematoma; Breast trauma
Abbreviations: ICU: Intensive Care Unit; PCR: Polymerase Chain Reaction; mMRC: Modified Medical Research Council; FEV1: Forced Expiratory Volume
Introduction
Coronavirus disease 2019 (COVID‐19) has caused over 144,358,956 infections and 3,066,113 deaths worldwide as of April 23rd, 2021 [1]. Pre-existing comorbidities among chronic obstructive pulmonary disease (COPD) is likely to worsen the progression and prognosis of COVID‐19. Patients with COPD have a greater risk of presenting a more severe disease and needing care in the intensive care unit (ICU) and eventually of dying [2]. Vaccination for risk populations such as COPD is crucial to avoid the worst consequences in terms of severity. The development of an effective vaccine against COVID-19 and their prompt application has given hope to prevent further disease and, hopefully to limit the global spread of viral infection. However, the incidence of COVID-19 in subjects who have previously received the vaccine is not known yet. Furthermore, the impact of this infection in vulnerable subjects such as those with COPD remains as well unclear. In Mexico, the vaccination campaign for people over 65 years old started in January 2021 and since then, 6.6 million (5.0%) people have been vaccinated with at least one dose with or without comorbidities [3]. We reported an unexpected case of COVID-19 in a subject with COPD as well as the effectiveness of the vaccine to avoid hospitalization and more severe complications in a COPD patient with frequent exacerbations who had completed immunization with two doses of the Sputnik vaccine and contracted COVID-19.
Case Report
A 60-year-old woman with a history of systemic arterial hypertension (SAH) and COPD since 2016. She was a former smoker (tobacco index of 15 packs/year) and had a history of three to four moderate exacerbations per year, the last one in December 2020. Her oxygen saturation (SaO2) at rest, before the diagnosis of COVID-19, was constantly around 88% but she didn’t accept the use of oxygen supplementary therapy. Her forced expiratory volume during the first second (FEV1) (%/p) previous to COVID-19 was 50% (GOLD II group D due to a history of exacerbations). She was partially controlled with inhaled triple therapy. She received two doses of Sputnik vaccine for COVID-19, in a timely and correct manner. Last dose documented on March 18th, 2021. Ten days after her last dose, she started with respiratory symptoms. On March 29th, 2021 she got a positive polymerase chain reaction (PCR) test for COVID-19. As initial symptoms, she presented headache, arthralgias, malaise and cough; 8 days after symptoms onset, she increased breathlessness classified as modified Medical Research Council (mMRC) 3 and presented a decrement in SaO2 to around 84%. Blood cell analysis revealed leukocytes of 8.10x1^3/mm3 and lymphocytes of 26.0%.
The erythrocyte sedimentation rate was reported as 0.0 mm/ hour. The blood chemistry panel reported Alanine Aminotransferase 35.0U/L, Aspartate Aminotransferase 18.0 U/L, Alkaline Phosphatase 79.0 U/L, Lactate Dehydrogenase 147.0 U/L, Gamma glutamyltransferase 42.0 U/L, albumin 4.4 g/dl, albumin/Globulin index 1.5, Creatine Kinase 22.0 U/L, C-Reactive Protein 4.56 mg/L (normal range for the laboratory <5mg/L), D- dimer <0.15 mg/L (normal range for the laboratory 0-0,7mg/L), Ferritin 204.39 ng/ ml (normal range for the laboratory 11.1-264 ng/ml). The chest X-ray revealed reduced radiodensity in pulmonary parenchyma with diffuse and fine interstitial thickening at lower lung lobes (Figure 1), (although the chest computed tomography (CT) did not showed them), the most important finding was pulmonary arterial hypertension.
Figure 1: Chest X-ray.
The chest X-ray revealed reduced radiodensity in pulmonary parenchyma with diffuse and fine interstitial thickening at lower lung lobes, the most
important finding was pulmonary arterial hypertension.
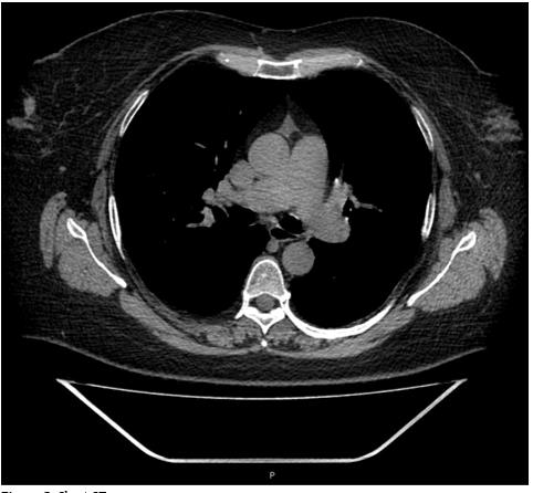
Chest CT findings showed diffuse air trapping without infiltrates nor interlobar and septal thickening; demonstrated absence of pneumonia (Figure 2) and pulmonary hypertension (Figure 3) with length of pulmonary artery of 33.2 mm (secondary to her COPD diagnosis). She received ambulatory management after symptoms onset with oral dexamethasone 6 mg daily per ten days, oral baricitinib 4 mg daily per 14 days, and supplementary oxygen (FiO2 45%) for 15 days. Pulmonologist decided to continue medical management at home due to her stable general conditions. Her SaO2 did not decrease further, her X-ray did not show any further changes (such as pneumonia) and her laboratories did not show clinically significant alterations, especially in regard to inflammation biomarkers. After 15 days of follow-up, dyspnea decreased (mMRC=1), and the SaO2 with FIO2 25%, was over 92%, her evolution was favorable, and she accepted to maintain using oxygen according to her previous condition.
Discussion
COVID-19 is an acute and heterogeneous clinical condition that has a higher impact in terms of severity and mortality in older people that also present comorbidities such as COPD. Because of off-target immune responses [4], COPD is associated with increased susceptibility to infections, including respiratory viral diseases that are among the leading causes of acute exacerbations of COPD (AECOPD) [5]. Polverino F et al. [6] state that there are some evidences for critical factors in COVID-19 severity on the immune system of patients with COPD during COVID-19 infection like smoke-induced changes in numbers of the main angiotensin converting enzyme 2 (ACE2) producing cells, COVID-19 protein cleavage by proteinases, smoke-induced altered antiviral responses, underlying smoke-induced altered lung structure and endothelial damage.
However, it is well described that the upregulation of the severe acute respiratory syndrome coronavirus 2 (SARS-CoV-2) receptor (ACE2) in the airway and lungs of this individuals causes the overexpression of the virus and allows a faster spread of it into the distal airways and alveoli facilitating the progression of the disease [7]. In a meta-analysis of 15 studies revealed that the presence of COPD is associated with higher risk of developing severe COVID-19 also heightens mortality, even when prevalence of COPD diagnosis in COVID-19 was relatively low [7]. In Mexico, a study in a large set of data for risk factors for mortality in patients for COVID-19, COPD together with hypertension, obesity, diabetes and cardiomyopathy, showed to be the main risk factors for mortality [8].
As the COVID-19 pandemic continues to rage, the need of an effective vaccine has become primordial for all countries to reduce disease morbidity and mortality. The fact that SARS-CoV-2 is a pathogen constantly spreading, the vaccine’s efficacy is challenging and despite the current approvals, there is still a paucity of published data concerning Phase III trials on candidate SARS-CoV-2 vaccines [9]. About Sputnik vaccine, researchers of the Gamaleya National Center of Epidemiology and Microbiology in Moscow, used two different adenovirus vectors (rAd26 and rAd5) delivered separately in the first and second dose within 21 days apart. Interim phase III data reported in February 2021 a vaccine efficacy of 91.6% against COVID-19 infection and 100% against severe COVID-19 after 21 days following the first dose [10].
This case shows two different but very relevant issues. First of all, the possibility of developing COVID-19 despite an active vaccine and secondly, its efficiency to prevent severe outcomes in a fragile woman with severe COPD. She received two doses of the sputnik vaccine on time, although the symptoms onset appeared 10 days after receiving the last dose, the immunity achieved was enough to avoid hospital admission. Data of the phase III interim report of Sputnik V showed that about one quarter of those who entered the trail had comorbidities, a known risk for COVID-19 severity. A time-resolved plot of the incidence rate showed that the immunity required to prevent disease arose within 18 days of the first dose. In all age groups, the anecdotal case histories of those vaccinated but infected suggest that the severity of disease decreases as immunity develops [11]. The vaccine that was applied to the patient is characterized for having recombinant adenovirus as vaccine vectors and being able to provide immunity after just a single dose [10]. Nevertheless, she received two doses, the period time between the last one and the symptoms onset were not enough to avoid the infection. However, the first dose she received was sufficient to achieve immunity to prevent a severe infection demonstrated by her clinical picture, chest x-ray, chest CT, SaO2 and lack of increased inflammatory markers (CRP, ferritin, VSG).
Conclusion
This case-report shows that the possibility of COVID-19 infection after being vaccinated, exists. Nevertheless, it also suggests that the disease may be less severe even in patients with previous low SaO2 associated with dangerous comorbidities such as SAH and COPD. As far as we know this is the first case report of COVID-19 after vaccination in a high-risk patient, particularly having chronic respiratory failure associated with COPD. With these results it seems to be a close relationship between anti-COVID-19 vaccine and prevention of fatality outcomes even in patients with serious comorbidities. Therefore, we strongly recommend the massive use of anti-COVID-19 vaccine as a worldwide vaccination program. In this sense, COPD patients should be prioritized for immunization with COVID-19 vaccine(s).
References
- World Health Organization (2021) Coronavirus disease (COVID-19) Weekly Epidemiological Update and Weekly Operational Update.
- Richardson S, Hirsch JS, Narasimhan M, Crawford JM, Mc Ginn T, et al. (2020) Presenting characteristics, comorbidities, and outcomes among 5700 patients hospitalized with COVID-19 in the New York City area. JAMA 323(20): 2052-2059.
- WHO Coronavirus disease (COVID-19) dashboard with vaccination data (2021) Who.int, Mexico.
- Mallia P, Message SD, Gielen V, Contoli M, Gray K, et al. (2011) Experimental rhinovirus infection as a human model of chronic obstructive pulmonary disease exacerbation. Am J Respir Crit Care Med 183(6): 734-742.
- Polverino F, Celli B (2018) The challenge of controlling the COPD epidemic: Unmet needs. The American Journal of Medicine 131(9): 1-6.
- Polverino F, Kheradmand F (2020) COVID-19, COPD, and AECOPD: Immunological, epidemiological, and clinical aspects. Front Med (Lausanne) 7: 627278.
- Gerayeli FV, Milne S, Cheung C, Li X, Yang CWT, et al. (2021) COPD and the risk of poor outcomes in COVID-19: A systematic review and meta-analysis. EClinical Medicine 33: 100789.
- Parra-Bracamonte GM, Lopez-Villalobos N, Parra-Bracamonte FE (2020) Clinical characteristics and risk factors for mortality of patients with COVID-19 in a large data set from Mexico. Ann Epidemiol 52: 93-98. e2.
- Rogliani P, Chetta A, Cazzola M, Calzetta L (2021) SARS-CoV-2 neutralizing antibodies: A network meta-analysis across vaccines. Vaccines (Basel) 9(3): 227.
- Logunov DY, Dolzhikova IV, Shcheblyakov DV, Tukhvatulin AI, Zubkova OV, et al. (2021) Safety and efficacy of an rAd26 and rAd5 vector-based heterologous prime-boost COVID-19 vaccine: an interim analysis of a randomised controlled phase 3 trial in Russia. Lancet 397(10275): 671-81.
- Jones I, Roy P (2021) Sputnik V COVID-19 vaccine candidate appears safe and effective. Lancet 397(10275): 642-643.



We use cookies to ensure you get the best experience on our website.